事情是这样的,上网冲浪时,刷到条帖子:
图片来源:小🍠
作为一个自认口腔健康意识很强的人,当然就顺手拿起了一旁的镜子,照了照自己的牙齿——
……不是,我牙缝里的肉怎么也消失了?!
图片来源:自己拍的
点开评论区一看,有类似情况的人还真不少。
主要表现为牙与牙之间空出了一个「黑三角」、牙根外露得越来越严重、牙龈变薄、牙缝看起来也宽了不少——真·喝凉水都塞牙!
图片来源:小🍠
看得多了,难免问出灵魂问题:
为啥拔牙后那么大一个窟窿,几周内都能肉眼可见地「长平」?偏偏牙龈肉退缩后,就长不回来了呢?🧐
下面,请看我们的年度探秘 VCR(并没有
牙龈一去不回头
实则是伤到了「骨头」的表现
倘若你在网上搜索过「牙龈萎缩」,一定会看到这样的描述:
又名牙龈退缩(GR),牙龈往后跑
即牙龈肉向牙根方向退缩
导致牙根暴露
乍一看,是不是以为全是「牙龈肉」的锅?没事你跑啥跑?
图片来源:表情包
然而!牙龈真实的角色,更像个小弟——依附在大哥「牙槽骨」上的肉;
图片来源:站酷海洛
我们可以用一个简单的比喻理解:牙齿好比是树,牙龈是树周围的草皮,而牙槽骨才是埋藏树根的土壤。
牙龈的生理结构就决定了,它一旦没有了牙槽骨的支撑,就无法存在。
图片来源:站酷海洛
它俩更暧昧的是,牙龈的位置和高度,也由牙槽骨说了算。
一般来说,牙龈和牙齿结合的最上缘,总会和牙槽骨的顶端保持 2.04 mm的距离,这是它的安全警戒线,学名叫「生物学宽度」[1]。牙槽骨高度下降多少,牙龈就会紧跟着下降多少,绝不越位。
要知道,成人的牙槽骨流失是不可逆的。一旦破坏,位置降低,想砌回原装高度,不靠手术,基本不可能。
回过头再看牙龈的离开,哪里是牙龈的一去不回头,分明是牙槽骨的没被挽留。
就像土壤流失后的草皮,恢复不到原来的距离。牙龈后缩的本质,也是支撑牙齿的牙槽骨,发生了永久性的破坏和丧失[2]。
图片来源:YouTube
有人可能要问了,那为啥拔牙后那么大个「牙洞」——牙齿都没了,牙龈都能重新长回来、把洞填平?
拉回上面那个比喻,朋友们~拔牙等于拔了一棵树,但土壤还在呀!不影响树周围的草皮。
拔牙留下的窟窿看似吓人,实则窟窿里的牙槽骨还在。拔牙窝=干净的新鲜坑+活骨四壁+丰富血供,牙槽骨及其周围软组织会发生一系列变化,愈合修复,直至肉眼可见的「长平」[3-4]。
总结一下就是,拔牙窝不过是骨墙倒了,但钢筋水泥还在,搭个脚手架、还能重砌;而牙龈退缩是地基都塌了,地表也随着塌陷——伤到根儿啦!
牙龈:
图片来源:一只小鱼
牙槽骨为何会丧失?
牙周炎是头号嫌疑犯!
来~再追根溯源。
牙龈萎缩的本质是牙槽骨丧失,那牙槽骨丧失,又是为啥呢?头号嫌疑犯就是牙周炎。
图片来源:小🍠
作为「细菌性因素」的集大成者,大量研究表明,由牙菌斑和牙结石中的细菌发展出牙周炎,会引起炎症,破坏牙槽骨和牙周韧带,导致骨头吸收、牙龈随之萎缩[5]。
又或者反过来说,牙龈退缩,往往就是牙周炎的临床表现之一[6]。
想象你的牙龈就像一堵保护牙齿的「城墙」,它们紧紧贴在牙齿脖子上,不让细菌入侵。
但有一天,以牙菌斑为主要代表的细菌小分队,偷偷驻扎在牙龈边缘,开始搞破坏。
图片来源:自己画的
它们一捣乱,牙龈就发炎了,红肿、出血。
这时候,身体的「免疫士兵」——一种白细胞单核细胞接到警报,火速赶来支援。
它们好比是一群消防员+拆迁队,一边和菌斑微生物大乱斗,一边不小心把牙龈和牙齿之间的「粘合胶水」结缔组织也踩坏了。附着丧失,牙根暴露、牙龈后撤。
图片来源:自己画的
你觉得自己不会中招?因为你早晚两次、刷牙超准时?
事实上,牙菌斑比你想象得更无孔不入。
丁香医生做过一个牙菌斑显色剂实验,结果发现,即使刷过牙,仍有牙菌斑残留。
刷完牙 vs 24 小时后
均使用牙菌斑显色剂
颜色越红,表示牙菌斑越多👇
图片来源:丁香一位实验小哥
这离不开几个常见刷牙问题 :没刷到位,刷牙时间、角度都不对;牙缝没清洁,我们不易刷到牙缝、牙内侧、牙齿与牙龈的交界处;漏刷的地方,时间一长,残留在嘴巴里的牙菌斑,就能大量积累。
如果放任不管,就可能菌斑堆积 → 龈炎/牙周炎 → 牙龈+下方牙槽骨被破坏 → 牙龈高度随着降低→ 牙根外露,牙齿间出现「黑三角」 → 看上去牙缝变大。
图为牙结石 图片来源:站酷海洛
轻则出现冷热酸敏感等症状[7],重则还可能导致菌斑滞留、根面龋、牙髓炎等[8]。
不同于普通「牙冠龋」,发生在牙釉质
「根面龋」一般发生在牙根
牙龈退缩、牙根裸露缺乏保护,细菌往上啃洞
左为牙冠龋,右为根面龋 图片来源:站酷海洛
这还是好的,更糟糕的是,如果继续任凭牙菌斑滋长、牙周炎恶化、牙龈退缩,最终严重到年纪轻轻就要「全口牙拔除」,也不算少见。
图片来源:@丁香园
此外,还有一些原因,也可能加剧牙槽骨的吸收,牙龈萎缩,比如——
👉 刷牙方式不当或牙刷材质过硬:比如使用硬毛牙刷,用力过猛、采用横刷法等[9]。
👉 牙齿排列不齐或缺牙不补:牙齿承受过大的力量,或局部牙槽骨的缺乏[10]。
👉 吸烟:主要会促进牙周病的发生,因此也被认为是牙龈退缩的重要危险因素之一[11]。
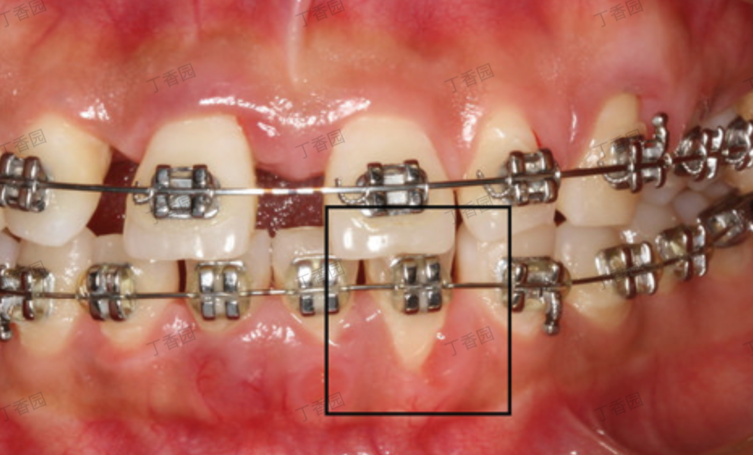
👉 不良修复体或正畸过程中拉太快:也可能产生压迫或刺激12]。
正畸牙移动与牙龈退缩
图片来源:丁香园
那么问题来了,究竟如何防止牙槽骨吸收、牙龈退缩呢?
一份牙龈防护 tips
帮你守护牙缝里的肉肉~
首先,你可以拿出镜子,对照下图,看看自己的牙龈属不属于「健康牙龈的样子」:
牙龈边缘呈珊瑚粉,边缘牙龈略呈圆弧状。
游离龈在牙齿边缘可活动,附着龈与游离龈相连续
点彩可见不可动、硬而紧绷,呈橘皮样点状凹凸[13]
图片来源:自己画的
如果是,恭喜你!不用往下看了~
但如果你的牙龈出现退缩现象,牙根变长、黑三角,可能就要先去牙科诊断严重程度。
一般来说,最有效的防止它恶化的方式,就是定期洗牙!
图片来源:小🍠
现在市面上尤其流行一种牙膏,宣称能「恢复牙龈」——如果不是钱多得没处花,不必买!
好好刷牙是有助于保护牙龈,但已经萎缩的牙龈是不可逆的,不会因为用了特别产品就长回来。
掌握正确刷牙方法也很重要,建议用牙医推荐的改良巴氏刷牙法。
每天至少刷两次
1. 刷毛和牙呈 45 度朝向牙龈;
2. 每次两颗牙水平颤动,再往上一提!
3. 刷到牙齿的每个面,别忘刷舌苔;
尝试用牙线,替代牙签。
长期、用力使用坚硬的牙签可能导致机械创伤,牙齿有 0.2 mm 左右的生理动度,而牙线直径仅约 0.1 mm ,且由多根超细纤维拧成,遇压力会「扁」会「让」,可以帮助清洁牙齿和牙龈交接处,又不至于把牙缝撑宽。
图片来源:丁香生活研究所
至于已经萎缩严重、甚至只剩一层膜的牙龈呢?很不幸,可能就真要靠手术了。
早检查,早干预~
图片来源:小🍠
学会了吗?赶紧转给你的家人、朋友,就从今天起,开始关照我们的牙龈吧!
参考文献
[1]Sun P, Yu D, Luo X, Xu A, Feng Y, He FM. The Effect of Initial Biologic Width on Marginal Bone Loss: A Retrospective Study. Int J Oral Maxillofac Implants. 2022 Jan-Feb;37(1):190-198.
[2]Jati AS, Furquim LZ, Consolaro A. Gingival recession: its causes and types, and the importance of orthodontic treatment. Dental Press J Orthod. 2016 Jun;21(3):18-29.
[3]Udeabor SE, Heselich A, Al-Maawi S, Alqahtani AF, Sader R, Ghanaati S. Current Knowledge on the Healing of the Extraction Socket: A Narrative Review. Bioengineering (Basel). 2023 Sep 29;10(10):1145.
[4]Farina R., Trombelli L. Wound healing of extraction sockets. Endod. Top. 2011;25:16–43.
[5]BaNeville BW, Damm DD, Chi AC, et al. Oral and maxillofacial pathology[M]. Elsevier Health Sciences, 2015.
[6]Hajishengallis G. Periodontitis: from microbial immune subversion to systemic inflammation[J]. Nat Rev Immunol, 2015, 15(1): 30-44.
[7]Santamaria MP, Queiroz LA, Mathias IF, et al. Resin composite plus connective tissue graft to treat single maxillary gingival recession associated with non⁃carious cervical lesion: randomized clinical trial[J]. J Clin Periodontol, 2016, 43(5): 461-468.
[8]Merijohn GK. Management and prevention of gingival recession[J]. Periodontol 2000, 2016, 71(1): 228-242.
[9]Khocht A, Simon G, Person P, et al. Gingival recession in relation to history of hard toothbrush use [J]. J Periodontol, 1993, 64(9): 900-905.
[10]Zucchelli G, Mounssif I. Periodontal plastic surgery[J]. Periodontol 2000, 2015, 68(1): 333⁃368.
[11]Susin C, Haas AN, Oppermann RV, et al. Gingival recession:epidemiology and risk indicators in a representative urban Brazilian population[J]. J Periodontol, 2004, 75(10): 1377⁃1386.
[12]Jati AS, Furquim LZ, Consolaro A. Gingival recession: its causes and types, and the importance of orthodontic treatment[J]. Dental Press J Orthod, 2016, 21(3): 18⁃29.
[13]Bartold PM, Gronthos S, Ivanovski S, et al. Tissue engineered periodontal products[J]. J Periodontal Res, 2016, 51(1): 1-15.

























